Exame

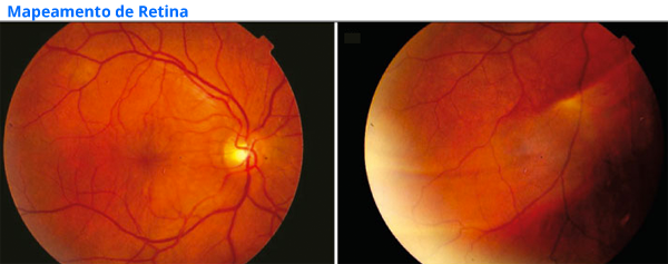
Mapeamento de Retina

É um exame da retina, incluindo a parte periférica. Difere da FUNDOSCOPIA ou OFTALMOSCOPIA por permitir a avaliação de maior área da retina com visão binocular estereoscópica, oferecendo melhor ideia de conjunto e relevo das lesões. Permite a avaliação da periferia retiniana, nervo óptico e vítreo.

A partir desse exame é possível diagnosticar ou avaliar a evolução de doenças sistêmicas como o DIABETES e a HIPERTENSÃO ARTERIAL. Avalia em que condição se encontra a RETINA em diversas patologias e indicações cirúrgicas. Também conhecida como BIOMICROSCOPIA DO SEGMENTO POSTERIOR, OFTALMOSCOPIA INDIRETA ou BIOMICROSCOPIA DA RETINA. Indicados para casos como:

  • Avaliação de qualquer patologia da retina e do nervo óptico, principalmente as que afetam a área periférica da retina como, por exemplo: doenças hematológicas, reumatológicas, metabólicas e endócrinas e as degenerações periféricas da miopia
  • Retinopatia diabética
  • Retinopatia hipertensiva
  • Descolamentos de retina
  • Corio-retinites
  • Retinose pigmentar
  • Neurite óptica
  • Papiledema
  • Estudo da escavação do nervo óptico no glaucoma
  • Pré-cirurgia de cirurgia refrativa
  • Pré-cirurgia de catarata, quando os meios oculares permitirem
  • Trauma ocular
  • Oclusões vasculares
  • Entopsia
  • Distúrbios visuais
  • Indicação formal no pré-operatório da cirurgia da catarata
  • Cirurgias refrativas
  • Entopsias agudas ou crônicas
  • Altas miopias
  • Antecedentes familiares ou pessoais de descolamento de retina, traumas
  • Retinopatias hipóxicas (diabetes, tromboses, Eales, anemia falciforme)
  • Doenças da mácula
  • Tumores
  • Moscas volantes.

Convênios

O Hospital de Olhos de Carangola mantêm parceria com vários Convênios e planos de saúde. Muito mais comodidade e praticidade para nossos pacientes. Há mais de 15 anos cuidando da visão e de pessoas.

Convênio Cassi Convênio Cemig Convênio IPSM Convênio SCC Convênio IPSEMG Convênio Postal Saúde Convênio SulAmerica Convênio Unimed Convênio Bradesco Convênio ACIAC Convênio CIS Caparaó Convênio CIS Leste Convênio CIS Verde Convênio Conspnor Convênio SOS Vida Convênio AFUNC Convênio CIS Novo Convênio UP Convênio ASMEF
Logo

Ícone LocalizaçãoRua Santa Luzia, 172, Centro, Carangola - MG

Ícone AtendimentoSegunda a Sexta de 8h às 18h
Sábados de 8h às 12h

Ícone WhatsApp 32. 9 8493-3550

Ícone Telefone32. 3741-4086
32. 3741-2707

Direção Técnica: Dr. Fábio Morando - CRM 38849 / RQE: 14121

Copyright © 2023 - Hospital de Olhos Carangola - Todos os direitos reservados